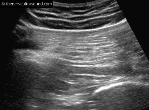
The structures at the gluteal region lie deep, often requiring a lower frequency probe (e.g. 5-8 MHz) to have enough penetration. The piriformis muscle serves as leading structure. Palpation of the border of the sacrum and the greater trochanter helps to identify the expected course of the piriformis muscle. To start off with, it is helpful to place the probe proximal on the ileum with the ultrasound-probe in the orientation of the expected course of the piriformis muscle. Moving distally the cortex of the ilieum bone soon disappears and the piriformis muscle will become visible from its origin on the ventral surface of the sacrum running over the dorsal aspect of the acetabulum to the greater trochanter of the femur.
Passive internal and external rotation of the hip may help to delineate the piriformis muscle.
The sacral plexus with the sciatic nerve lies deep to the piriformis muscle medial to the bone corresponding to the dorsal aspect of the acetabulum. As a variant, the nerve or parts of it can also run through the muscle or dorsal to it.
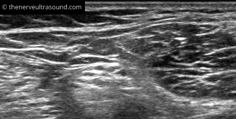
Primary palpation of the groove between the semitendinous and the long head of the biceps femoris muscle makes it easier to find the sciatic nerve in the subgluteal region. Here, the fascia between the two muscles often has an S-shaped aspect pointing to the sciatic nerve deep to the muscles.
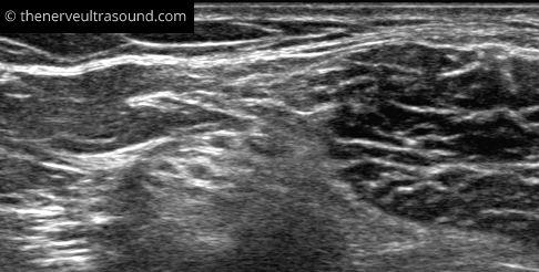
The sciatic nerve lies quite superficial at the subgluteal region and the popliteal fossa. In between the nerve runs deeper and might be difficult to identify clearly in obese patients. Starting the scanning more distally at the position E in the knee fold makes it easier to identify the nerve at the positions C and D.
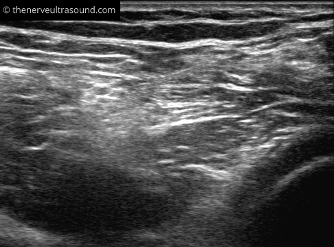
The site of the bifurcation of the sciatic nerve into the tibial and common peroneal nerve is variable. Often the portion of the sciatic nerve forming the tibial or the common peroneal nerve can be already identified much more proximal to the bifurcation.
At the popliteal fossa the main branches of the sciatic nerve are visible. The tibial nerve lies superficial
to the popliteal artery. Especially in individuals with difficult sonoanatomy it may be easier to start the scanning of the distal course of the sciatic nerve at this level; positioning of the probe in the popliteal fossa, looking for the pulsation of the artery, focusing superficial to the artery looking for the “appearance” of
a hyperechogenic structure whilst tilting the ulrasound-probe; the tibial nerve. When the tibial nerve is identified, tracking it proximally till the union with the common peroneal nerve from lateral – the bifurcation of the sciatic nerve is identified.
Another possibility is the identification of the common peroneal nerve on the fibular neck and tracking it back proximal up to the bifurcation.









