Standard sections tibial nerve

 

A: Medial malleolus

At the level of the medial malleolus the tibial nerve lies dorsal to the posterior tibial artery with its accompanying veins.

 

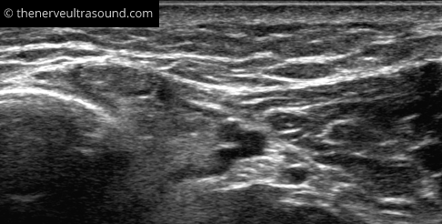
B: Tarsal tunnel

In or distal to the tarsal tunnel the tibial nerve divides into it terminal branches; the medial plantar (anterior) and the lateral plantar nerve.

 

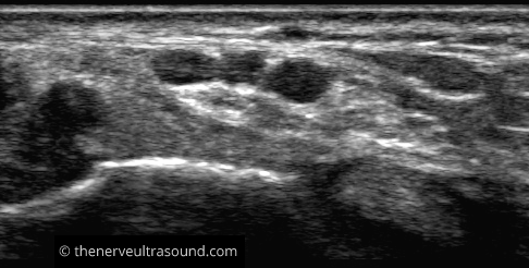
C: Distal tarsal tunnel